Gallery
Case 15-D1
233
234
235
236
237
238
239
240
242
243
244
245
246
247
248
249
250
251
252
253
254
255
256
257
259
261
263
265
267
269
271
272
273
275
277
279
280
281
282
283
285
286
288
289
290
291
292
293
295
296
297
298
299
331
333
339
341
347
349
Image information
Description
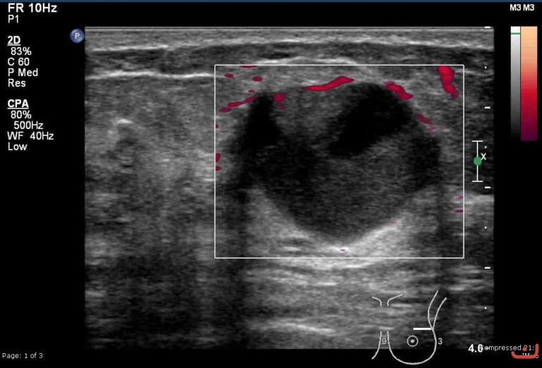
Malignant solid mass
Date
Friday, 22 May 2015
Author
No Data
File size of the original image
201.92 KB (768 x 522 px)
Total images in all categories: 211






