Gallery
Case 50-D1
54
56
57
58
59
60
61
62
63
64
65
66
228
229
230
231
232
233
234
235
236
237
238
239
240
242
243
244
245
246
247
248
249
250
251
252
253
254
255
256
257
259
261
263
265
267
269
271
272
273
275
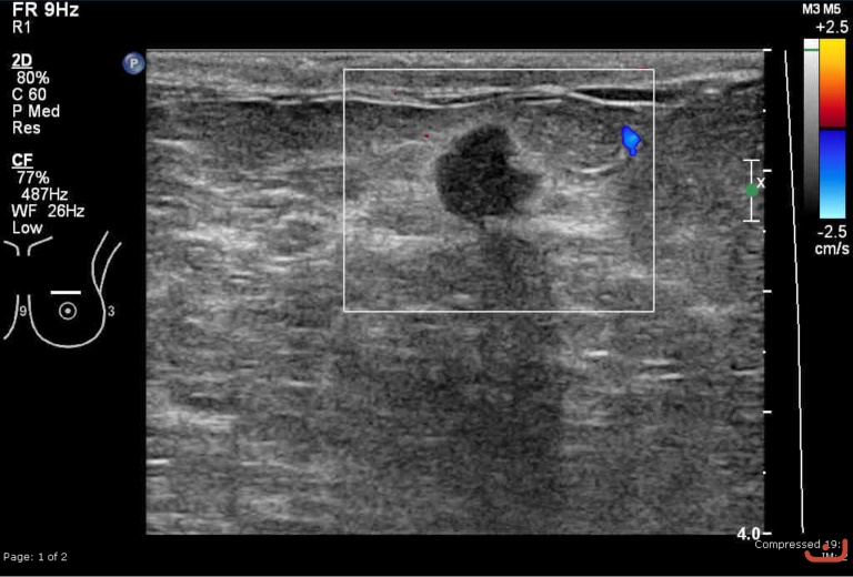
Image information
Description
Malignant solid mass
Date
Friday, 22 May 2015
Author
No Data
File size of the original image
212.73 KB (768 x 520 px)
Total images in all categories: 211






