Gallery
Case 50-G1
300
301
302
303
304
305
306
307
308
309
310
311
312
313
314
315
316
317
318
319
320
321
322
323
324
325
Image information
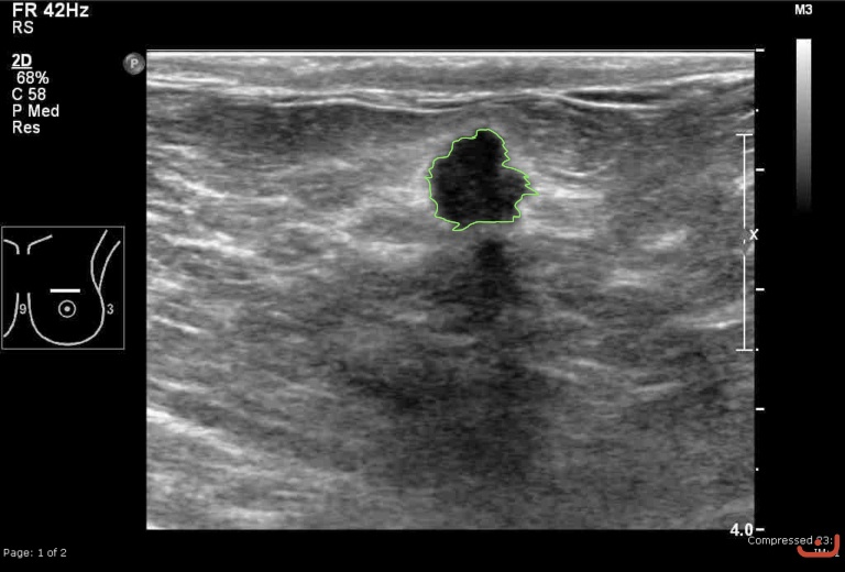
Description
Malignant solid mass
Date
Friday, 22 May 2015
Author
No Data
File size of the original image
174.30 KB (768 x 520 px)
Total images in all categories: 211






