Gallery
Case 54-U1
33
34
35
36
37
38
39
40
41
42
43
44
45
46
47
48
49
50
51
52
53
68
69
70
71
72
73
74
75
76
77
78
79
80
81
82
83
84
85
86
87
88
89
90
91
92
93
94
95
96
97
98
99
100
101
102
103
104
105
106
107
108
109
110
111
113
114
115
116
117
118
119
120
121
122
123
124
125
126
330
332
334
335
336
337
338
340
342
343
344
345
346
348
Image information
Description
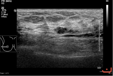
Benign solid mass
Date
Thursday, 30 April 2015
Author
No Data
File size of the original image
86.02 KB (451 x 305 px)
Total images in all categories: 211






