Gallery
Case 65-U1
33
34
35
36
37
38
39
40
41
42
43
44
45
46
47
48
49
50
51
52
53
68
69
70
71
72
73
74
75
76
77
78
79
80
81
82
83
84
85
86
87
88
89
90
91
92
93
94
95
96
97
98
99
100
101
102
103
104
105
106
107
108
109
110
111
112
113
114
115
116
117
118
119
120
121
122
Image information
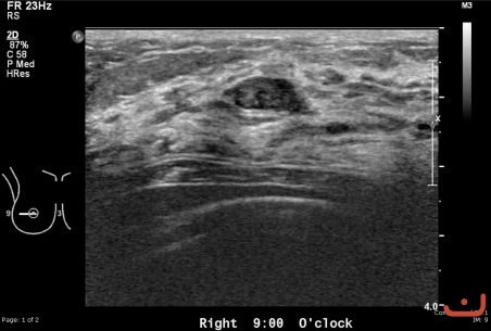
Description
Benign solid mass
Date
Thursday, 30 April 2015
Author
No Data
File size of the original image
90.66 KB (452 x 305 px)
Total images in all categories: 211






